Afin de passer un examen d’imagerie dentaire, il est important de vous adresser à un centre compétent et reconnu. En effet, il est essentiel que vous fassiez appel à des professionnels qui pourront rapidement prendre en charge votre demande. Ainsi, vous pourrez passer cet examen dans les meilleures conditions.
Faire appel à un centre de radiologie réputé
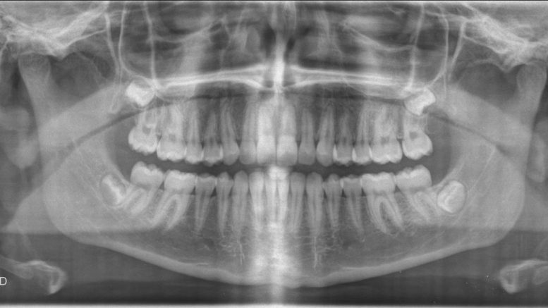
Un examen d’imagerie dentaire exige d’utiliser un matériel de pointe afin d’obtenir des résultats de grande qualité. Aussi, il vous faire appel à un centre de radiologie comme Acrim se trouvant non loin de chez vous. Tout en vous assurant qu’il est réputé pour la qualité de ses services. En effet, il est important que vous puissiez faire réaliser cet examen dentaire dans les meilleures conditions et dans les délais les plus brefs. Certains établissements sont spécialisés dans ce type d’examens et pourront donc vous le faire passer avec le plus grand professionnalisme. Vous obtiendrez ainsi des résultats de bonne qualité.
Faire confiance à l’ACRIM
Si vous désirez passer votre examen d’imagerie dentaire dans un centre de radiologie de qualité, vous ne devez pas hésiter à faire confiance à l’ACRIM. L’ACRIM est un centre d’imagerie médicale qui possède cinq sites sur Senlis, Crépy-en-Valois, Noyon, Saint Côme et Compiègne. Ainsi, si vous vivez dans ces communes ou dans les alentours, vous pourrez prendre rendez-vous avec ces professionnels afin de passer votre examen dentaire. Vous bénéficierez du meilleur matériel de pointe en matière d’imagerie dentaire et médicale en recevant rapidement vos résultats. Vous pourrez y passer différents examens dentaires comme : le panoramique, ou encore le télécrâne mais aussi le Cone Beam. Grâce à ces examens d’imagerie dentaire, votre dentiste pourra détecter rapidement une infection, ou un problème au niveau de votre dentition ou de vos mâchoires. Vous bénéficierez du meilleur suivi grâce à des radiologues compétents et possédant de nombreuses années d’expérience.
